
Dental Tourism and Aligners Globe
Dental tourism has emerged as a global trend, allowing patients to travel across borders for high-quality dental care at affordable prices while enjoying a memorable travel experience. Among the leading
Aligners in Pakistan are one of the most advanced, comfortable, removable, and invisible method of teeth straightening and closing gaps between teeth nowadays. These are discreet; most people won’t even notice you’re wearing them. Gone are the days when there were ugly-looking train-track metal braces in Pakistan were the only treatment solution for misaligned and spaced teeth.
If you are looking for the best aligners in Pakistan, Invisalign in Pakistan, invisible braces in Pakistan, clear braces, transparent braces for you, friends or your family members, your queries and search are over; you are luckily at the right place. Aligners Globe is only the first invisible braces brand in Pakistan which gives guaranteed results. We have franchises in all cities in Pakistan and across the world. It is an ideal choice for a person who is getting married soon, looking for a discreet and removable solution or migrant people from different countries who cannot visit an orthodontist on a monthly basis.
Aligners are made in the dental laboratory from invisible medical-grade plastic sheets that are CE-certified and FDA-approved. Aligners trays provided in a box are custom-designed and fabricated according to the jaw size and misalignment problems or gaps between the teeth. Each tray in the Aligners box with number sequence wise printed on the tray 22 hours a day for 15 days, gradually shifts the teeth into their correct position step by step on wearing them. The total number of trays in the box depends on the severity of misalignment or space between teeth. Aligners are also commonly referred to as transparent braces, invisible braces, clear aligners, or teeth aligners in Pakistan.
Aligners Globe is Pakistan’s leading brand for invisible braces, trusted and recommended by dental hospitals, consultants, orthodontists, clinics, and dentists in Lahore, Islamabad, Karachi, and nationwide. Here’s why Aligners Globe stands out:
Looking for straighten teeth and a perfect smile but don’t want metal braces, ceramic braces or lingual braces??? Don’t worry!!!! We can straight teeth without wires. Let your smile shine all life Long. Aligners is the best Innovation in Orthodontic Dentistry.
Aligners Globe boxes (Invisible braces) are more affordable than other braces available in Pakistan. You can purchase the Aligners Globe box at a direct factory price of just Rs. 189,000 from our Aligners Globe providers across Pakistan. Contact us today to schedule an appointment with an Aligners Globe provider in your city and learn more about aligners’ prices in Pakistan.
The Aligners Globe box is not available over-the-counter, and you cannot directly order it online. This is because each box is custom-made and tailored to an individual’s unique misalignment and teeth spacing, as every jaw size is different. Depending on the severity of the misalignment and spacing, the number of trays required will be determined and included in the box. You can purchase Aligners Globe boxes from our authorized distributors, known as Aligners Globe Providers, in cities across Pakistan. These providers are certified orthodontists and dentists specializing in aligner technology and are registered with the Aligners Globe brand. They sell the boxes at a set company price.
Take the first step toward your confident smile with Aligners Globe. Our expert orthodontists combine professional care with unmatched comfort to deliver clear aligner treatment that fits seamlessly into your lifestyle — for results you’ll truly love.
At Aligners Globe, we don’t just offer invisible braces—we offer a complete smile transformation journey with personalized care.
Our certified orthodontists in Islamabad, Karachi, Lahore, Multan, and other cities of Pakistan use state-of-the-art technology to ensure accurate and comfortable results. With franchises across Pakistan and global distributors, accessing your dream smile has never been easier. We combine affordability with world-class quality, making us a trusted brand among dental professionals.
Are you a teenager, a working professional, or someone looking for a discreet orthodontic solution?
Aligners Globe provides tailor-made aligners designed to suit your lifestyle and needs. Book your consultation today and take the first step towards a confident, beautiful smile.



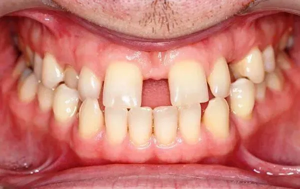
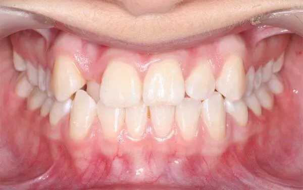
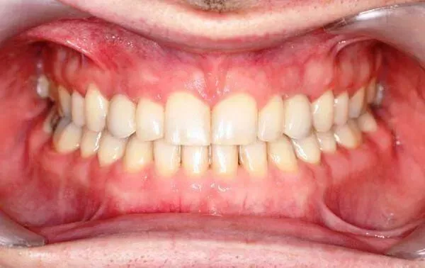
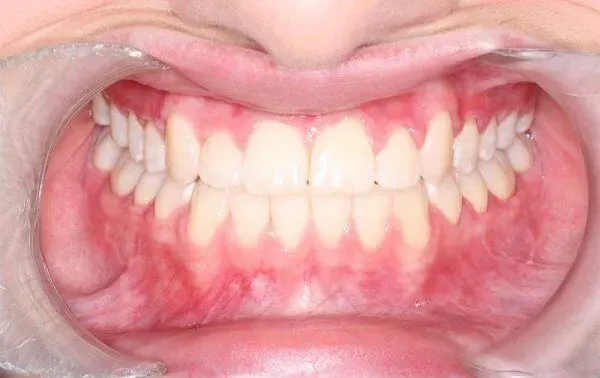
Seeing is believing—and at Aligners Globe, we’re proud to share the real results our patients experience every day.
Our invisible aligners have helped thousands across Pakistan achieve beautifully aligned smiles with minimal discomfort and maximum confidence. Visit your nearest Aligners Globe provider to view actual patient transformations and success stories. Our advanced 3D treatment simulations also let you preview your future smile before treatment begins, so you know exactly what to expect.
Join the growing community of satisfied clients who trust Aligners Globe for effective, hygienic, and life-changing orthodontic care—because your smile deserves nothing but the best.
EXCELLENT Based on 548 reviews Posted on Shakeel AhmadTrustindex verifies that the original source of the review is Google. I have consultant on call with doctor bilal Ahmad really a Great and experienced professional of aligners Glibe.doctor bilal satisfied me about his professional staff and doctor treatment.thanksPosted on Farhan RajputTrustindex verifies that the original source of the review is Google. The price of teeth braces in Pakistan is exceptional, and Aligners Globe truly changed my life by giving me the perfect smile.Posted on Ashar AwanTrustindex verifies that the original source of the review is Google. While traditional teeth braces in Pakistan come with a steep price tag, aligners offer an easy and affordable alternative. Thanks to them, I now have a perfect smile that I'm incredibly grateful for.Posted on Maida NasirTrustindex verifies that the original source of the review is Google. Teeth aligners price in Pakistan is so good and I'm so happy that I started my smile journey with them , guys highly recommend.Posted on Muqaddas AroojTrustindex verifies that the original source of the review is Google. I do have the best experience with clinic services and most affordable Metal Braces cost in Pakistan.Posted on Zindagi NaveedTrustindex verifies that the original source of the review is Google. The cost of Invisible Braces in Pakistan is truly amazing, and Aligners Globe provided the best treatment. They transformed my insecurity into confidence.Posted on Rufas GilTrustindex verifies that the original source of the review is Google. Teeth aligners price in Pakistan is affordable. Their service is good. Highly recommendedPosted on Myra PervaizTrustindex verifies that the original source of the review is Google. The cost of braces, aligners globes in Pakistan is unbelievable. The service, environment, staff, and doctor are incredibly skilled. Thanks to them, I've regained my smile.Posted on dua chdryTrustindex verifies that the original source of the review is Google. Aligners Globe Invisible Braces are exceptionally comfortable. My overall journey with them was fantastic, resulting in noticeable improvements. I highly recommend these invisible braces for their comfort.👍Posted on Misha ChdryTrustindex verifies that the original source of the review is Google. Aligners Globe Invisible Braces exceeded my expectations with their comfort. If you value comfort and effectiveness than these Invisible Braces is a great choice. Recommended 👍😇Verified by TrustindexTrustindex verified badge is the Universal Symbol of Trust. Only the greatest companies can get the verified badge who has a review score above 4.5, based on customer reviews over the past 12 months. Read more
For Your Knowledge, You can Find the most affordable invisible braces cost in Pakistan at our Franchises. We are the Top provider of invisible Braces in Pakistan.
The main causes of malocclusion, crooked teeth, and other orthodontic problems include:
Aligners are used for a variety of misalignment of teeth issues, such as:
Our team of specialists is ready to answer your questions and provide personalized recommendations for your unique smile journey.

Dental tourism has emerged as a global trend, allowing patients to travel across borders for high-quality dental care at affordable prices while enjoying a memorable travel experience. Among the leading

Clear aligners are an excellent orthodontic treatment option for those looking to straighten their teeth discreetly and comfortably. However, just like any other medical appliance, aligners require proper care to

Clear aligners have become an increasingly popular alternative to traditional braces for achieving a straighter smile. But the benefits of clear aligners go far beyond aesthetics. While they are designed
Orthodontists are dental specialists focused on correcting bite issues and straightening teeth using braces or aligners for teeth. Unlike general dentists, who handle overall oral care like cleanings and fillings, orthodontists undergo additional training to treat jaw and tooth alignment. For complex alignment needs, general dentists typically refer patients to orthodontists.
Aligners Globe connects you with top orthodontists across Pakistan, offering expert care and advanced clear aligners for teeth. Whether you’re an adult or teen, our personalized treatments provide a comfortable, invisible alternative to traditional braces. Book now for a confident, straighter smile!
Aligners for teeth are a discreet, comfortable, and removable alternative to metal braces. Made from clear, medical-grade plastic, they’re nearly invisible—perfect for adults who want to straighten their teeth without drawing attention. Unlike traditional braces, aligners are easier to clean, more hygienic, and require fewer dental visits. Whether you’re attending a special event or just brushing your teeth, they can be removed anytime. That’s why the best dental clinic in Karachi and other top clinics across Pakistan often recommend aligners for their convenience and comfort.
Stay connected with Aligners Globe! Get the latest tips, offers, and smile-transforming updates delivered straight to your inbox.
Aligners Globe is one of the top brands of invisible braces all across the world. Aligners are the most convenient, advanced, and discrete approach to teeth straightening and closing spaces between the teeth, alternatives to metal braces.